UNSERE LEISTUNGEN

Allgemeine Leistungen

Diese Leistungen werden in der Regel von der obligatorischen Krankenversicherung übernommen.

Audiometrie

Audiometrie

Durch die orientierende Audiometrie (Test des Hörvermögens) können wir eine Hörminderung unkompliziert erkennen und Sie wenn nötig in die Behandlung eines Spezialisten (Facharzt für HNO) überweisen.

EKG

EKG

Mit dem modernen, digitalen 12-Kanal-EKG können wir die elektrischen Signale Ihres Herzens analysieren und mögliche Probleme wie Vorhofflimmern und Rhythmusstörungen frühzeitig erkennen.

Praxisapotheke

Praxisapotheke

Als selbstdispensierende Praxis übernehmen wir Ihre Versorgung mit den benötigten Medikamenten aus unserer gut sortierten Praxisapotheke. Die Lagerung und Abgabe der Medikamente erfolgt selbstverständlich entsprechend den gesetzlichen Vorschriften.

Praxislabor

Praxislabor

In unserem modernen Praxislabor können wir viele Analysen noch während der Sprechstunde durchführen und so eine Behandlung ohne Verzögerung sicherstellen.

Für Analysen, die wir nicht vor Ort durchführen können, arbeiten wir mit MCL, einem der grössten Labordienstleister der Schweiz, zusammen.

Auf Wunsch führen wir auch Laboranalysen durch, die nicht durch die Grundversicherung abgedeckt sind (z. B. Bestimmungen von Vitaminspiegeln oder Durchführung von Covid-Tests).

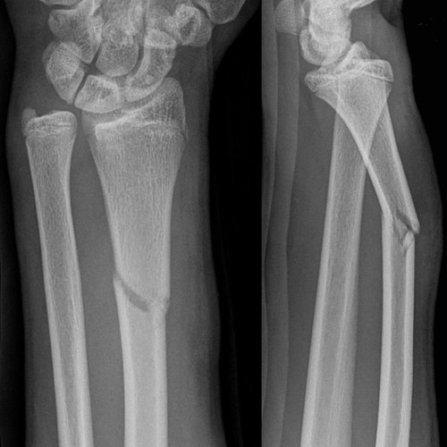
Röntgen

Röntgen

Durch unser volldigitales Röntgengerät können wir schnell und unkompliziert Knochenbrüche, Lungenentzündungen und andere Probleme feststellen und dann die notwendige Behandlung ohne Zeitverzögerung einleiten.

Spirometrie

Spirometrie

Durch die Untersuchung der Lungenfunktion (Spirometrie) kann der Verdacht auf eine Lungenerkrankung wie Asthma oder COPD frühzeitig gestellt und eine angemessene Behandlung eingeleitet werden.

TWINT Mit dem Handy bezahlen

TWINT

Zusatzleistungen können Sie nicht nur in bar, sondern auch modern und bequem mit dem Handy per TWINT bezahlen.

Alle Leistungen, die von Ihrer Kasse übernommen werden, rechnen wir natürlich weiterhin direkt mit dieser ab.

Wundversorgung und Kleinchirurgie

Wundversorgung und Kleinchirurgie

Die Versorgung kleiner Wunden und die Durchführung kleiner Eingriffe (z. B. Entfernung von Hautveränderungen) können wir direkt in der normalen Sprechstunde durchführen.

Für grössere Eingriffe steht mit Prof. Dr. med. Dr. h. c. P. Schemmer ein Spezialist zur Verfügung, der mehrmals pro Monat eine Sprechstunde im Praxiszentrum anbietet.

Wahl- und Zusatzleistungen

Diese Leistungen werden gewöhnlich nicht von der Grundversicherung übernommen. Gegebenenfalls werden einzelne Leistungen von einer Zusatzversicherung abgedeckt, checken Sie dies im Zweifel vorab mit Ihrer Versicherungsgesellschaft.

Erweiterte Gesundheitsvorsorge

Erweiterte Gesundheitsvorsorge

Neben den von der Grundversicherung abgedeckten Vorsorgeuntersuchungen bieten wir auch erweiterte Check-ups an, die auf Ihre individuellen Bedürfnisse zugeschnitten sind. Diese Leistungen werden nach Aufwand als Privatleistung abgerechnet.

Reisemedizinische Beratungen

Reisemedizinische Beratungen

Gerne beraten wir Sie vor einer Reise über empfohlene Impfungen und andere relevante Vorsorgemassnahmen. Dies ist eine Privatleistung, die nicht von der Grundversicherung übernommen wird, die Abrechnung erfolgt nach Aufwand.

RSV-Impfung

RSV-Impfung

RSV steht als Abkürzung für das menschliche Respiratorische-Synzytial-Virus, welches schwere Atemwegserkrankungen hervorruft. In anderen Ländern bereits Standard, wird die inzwischen Verfügbare Impfung in der Schweiz noch nicht von der Grundversicherung übernommen. Haben Sie eine Zusatzversicherung und sind über 65 Jahre oder aufgrund anderer Erkrankungen ein Risikopatient, dann stellen wir gerne einen Antrag auf Kostengutsprache bei Ihrer Zusatzversicherung.

Verkehrsmedizinische Untersuchung

Verkehrsmedizinische Untersuchung

Wir führen die gesetzlich vorgeschriebenen Untersuchungen für verschiedene Führerscheinkategorien (Stufe 1 und 2) durch. Diese Leistung ist nicht kassenpflichtig und wird privat in Rechnung gestellt.

Kontakt

Phone 031 316 26 00
Fax 031 589 68 60
Mail ...

Sichere HIN-E-Mail

HIN Mail ...

Zertifizierte Qualität

Für ein hohes Qualitätsniveau haben wir unsere Praxis nach strengen Kriterien zertifizieren lassen und dürfen daher dieses Zeichen führen.